Cooling Pad Meningkatkan Kinerja Dan Kenyamanan Pe...
Mei 14, 2026 | Inet |
Bulimia Nervosa Banyak Di Alami Remaja Dan Perempu...
Mei 13, 2026 | Health |
Hidangan Khas Jerman Dengan Cita Rasa Khasnya Yang...
Mei 12, 2026 | Food |
Tren Mindful Living, Gen Z Mulai Meninggalkan Buda...
Mei 11, 2026 | News |
Liburan Ke Bukit Ollon, Menyusuri Keindahan Alam T...
Mei 10, 2026 | Travel |
Finance
TerbaruFenomena Baru, Gen Z Pilih Paylater, Kartu Kredit Di Tinggalkan
Mei 7, 2026 | Finance |
Fenomena Baru: Gen Z Pilih Paylater, Kartu Kredit Di Tinggalkan Dengan Berbagai Alasan Yang...
-
Hidup Tanpa Utang, Gaya Hidup Finansial Sehat
Apr 28, 2026 | Finance |
-
Bisnis Martabak Manis Peluang Usaha Kuliner Yang Hasilkan Cuan
Apr 19, 2026 | Finance |
-
Food
TerbaruHidangan Khas Jerman Dengan Cita Rasa Khasnya Yang Lezat
Mei 12, 2026 | Food |
Hidangan Khas Jerman Berikut Ini Memiliki Cita Rasa Khas Yang Sangat Lezat Dan Wajib Untuk Kita...
-
Kue Knafeh Hidangan Manis Legendaris Dari Timur Tengah
Mei 3, 2026 | Food |
-
Caviar Telah Menjadi Sebuah Hidangan Kelas Dunia
Apr 27, 2026 | Food |
-
Salad Khas Indonesia Yang Tak Kalah Dari Salad Versi Luar Negeri
Apr 18, 2026 | Food |
Health
TerbaruBulimia Nervosa Banyak Di Alami Remaja Dan Perempuan Muda?
Mei 13, 2026 | Health |
Bulimia Nervosa Adalah Salah Satu Jenis Gangguan Makan Yang Di Tandai Dengan Perilaku Makan...
-
Alat Treadmill Alat Olahraga Praktis Untuk Gaya Hidup Sehat
Mei 4, 2026 | Health |
-
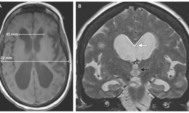
Penyakit Hydrocephalus, Kondisi Medis Dengan Cairan Di Otak
Apr 24, 2026 | Health |
-
Hobi Bermain Piano Banyak Manfaat Dan Berkembang Jadi Karir
Apr 15, 2026 | Health |
News
Tren Mindful Living, Gen Z Mulai Meningg...
Fakta Menarik Bintang Laut Yang Tidak Me...
Pedro Pascal, Karismatik Di Balik Layar ...
Kota Las Vegas Sebuah Kota Hiburan Dunia...
Festival Ondel Ondel Perayaan Budaya Bet...
Muhyiddin Yassin Pemimpin Yang Membentuk...
Tom Hanks Aktor Terbesar Dan Berprestasi...
Jembatan Danyang Kunshan Menjadi Yang Te...
Negara Yordania Jembatan Budaya Dan Seja...
Javier Milei Gaya Kepemimpinan Kontrover...
Budaya Kota Betawi, Warisan Khas Jakarta...
Presiden RI Tiba Di Tanah Air Usai Lawat...
Timothy Ronald Terjerat Hukum Telah Mela...
Gus Irfan Menteri Menhaj Sebut Biaya Haj...
Romy Soekarno Pewaris Darah Bung Karno Y...
Bencana Alam Di Sumatera Barat Dalam Sor...
Soimah Pancawati Keunikan Suara & Ka...
Pohon Sawit, Baguskah Untuk Masa Depan L...
Budi Arie Kiprah Menteri Mendorong Trans...
Phishing Link Sangat Berbahaya, Hati Hat...
Ahmad Sahroni, Bukti Bahwa Kerja Keras B...
Chris Martin Suara Emas Di Balik Kejayaa...
Ariel NOAH Sosok Berpengaruh Di Dunia Mu...
Angga Yunanda Selebriti Muda Tampan Dan ...
Inul Daratista Ikon Dangdut Dengan Goyan...
Bunyi Sirine Dan Strobo, Tot Tot Bikin P...
Banjir Di Bali Cukup Deras Dan Memakan B...
Ahmad Sahroni Telah Resmi Di Nonaktifkan...
Zoë Kravitz Kepergok Pegangan Tangan Den...
Nicholas Saputra, Aktor Karismatik Yang ...
Paul Allen Otak Jenius Di Balik Lahirnya...
Suku Dayak Penjaga Hutan Kalimantan Yang...
Tom Lembong, Cuma Di Vonis 4,5 Tahun, Be...
BMKG Keluarkan Peringatan Cuaca Ekstrem ...
Paus Biru, Hewan Yang Memiliki Suara Ter...
Beruang Madu Adalah Beruang Yang Paling ...
Deretan Bahasa Tersulit Di Dunia
Jenis Kucing Paling Mahal Di Dunia
Suami Najwa Shihab Meninggal Dunia
4 Negara Dengan Teknologi Paling Maju Di...
Darvaza Gas Crater Dengan Julukan Door T...
4 Kota Paling Banyak Penduduk Di Dunia
Di Skotlandia Sekitar 13% Populasinya Be...
Negara Bebas Nyamuk Di Dunia Yaitu Islan...
Kucing Demam, Apa Yang Harus Dilakukan?
Pembayaran Zakat Bisa Melalui Aplikasi M...
Makanan Manusia Yang Berbahaya Bagi Kuci...
Usaha Sembako Bisnis Yang Tidak Pernah M...
Rendang Menjadi Salah Satu Makanan Teren...
Patung Bawah Laut Terbesar Di Dunia Di B...
Gajah Bisa Berenang Hingga 6 Jam Sekalig...
Bisnis Makanan Diet Dan Sehat Semakin Be...
Tato Sebagai Ekspresi Diri: Tren Yang Se...
Gizi Seimbang Untuk Tumbuh Kembang Anak:...
Penyebaran Jaringan Fiber Optik Di Indon...
Donat Sehat Alternatif Manis Yang Ramah ...
Popularitas Ikan Koi Meningkat Di Kalang...
Pemanfaatan Big Data Di Sektor Pertanian...
Krisis Air Dunia: Upaya Inovatif Mengata...
Dampak Positif Kendaraan Otonom: Mengura...
Revolusi Belanja Online: Pengalaman Berb...
Tradisi Pukul Sapu Bentuk Penghormatan T...
Pencapaian Dunia Olahraga: Atlet Mencata...
Menghindari Toxic Parents Untuk Menjaga ...
Parade Planet Langka Di Langit: Mengamat...
Mengenal Pesawat Jet Teknologi Canggih M...
Pentingnya Keamanan Siber: Perlindungan ...
Perjalanan Luar Angkasa: Negara Yang Ber...
Gejala Awal Masalah Mata Yang Perlu Di w...
Ekspor Batubara Indonesia Tantangan Dan ...
Peluncuran Smartphone Terbaru: Fitur Can...
Kehadiran Restoran Berkonsep Sustainabil...
Tren Makanan Media Sosial: Apa Yang Vira...
Futuristik Atau Fad: Makanan Cetak 3D Da...
Penemuan Baru Dunia Kesehatan: Terobosan...
Makanan Mewah Yang Terjangkau: Fenomena ...
Sail Boat Kompetisi Sejarah Dan Perkemba...
Gadget Wearable Tren Inovasi Dalam Tekno...
Makanan Cepat Saji: Transformasi Menu Le...
Tren Teknologi 2025: Inovasi Terkini Yan...
Saham Teknologi Tumbuh Pesat Perusahaan ...
Inovasi Panel Tenaga Surya Terbaru Lebih...
Perubahan Iklim Global: Mengancam Keberl...
Makanan Kesehatan Mental: Mengedepankan ...
Fenomena Alam Langka: Gerhana Matahari T...
Menu Ramah Lingkungan: Restoran Berbasis...
Mengenal Kecerdasan Buatan: AI Mempengar...
Kuliner Street Food: Dari Gerobak Ke Res...
Seni Digital: Karya Terbaru Menggabungka...
Pertanian Organik Di Indonesia Tren Sema...
Mengungkap Keindahan Laut Bagi Pencinta ...
Mobil Bekas Mewah Masih Menjadi Pilihan ...
Revolusi Energi Terbarukan: Menyongsong ...
Makanan Dan Minuman Yang Meningkatkan Ke...
Rahasia Kunyit Dalam Dunia Kecantikan Da...
Mengenal Perbedaan Bus Single Glass Dan ...
Sosial Media Dan Pengaruhnya: Dampak Pos...
Makanan Internasional Dengan Sentuhan Lo...
Earphone Nirkabel Kemudahan Dan Kualitas...
Mocktail Hits Kreasi Minuman Menarik Unt...
Kuliner Halal: Mengapa Restoran Halal Se...
Makanan Organik Meningkatkan Kualitas Hi...
Museum Sejarah Adityawarman Mempunyai Fu...
Pertumbuhan Ekonomi Digital: Start-Up Me...
Wisata Ekstrem: Destinasi Tersembunyi Ya...
Laptop Ringan Menjadi Solusi Bekerja Di ...
Menikmati Budaya Dan Sejarah Di Kyoto Je...
Berkembangnya Gerakan Makanan Fermentasi...
Superfood 2025: Menemukan Manfaat Keseha...
Tren Sport Extreme Yang Menjadi Fenomena...
Krisis Semikonduktor Dan Dampaknya Pada ...
Restoran Berbasis Tanaman Yang Mempopule...
Keberagaman Makanan Asia Yang Mendunia: ...
Perkembangan Teknologi Dalam Pembuatan M...
Inovasi Dalam Dunia Kopi: Dari Kaffeinat...
Peran Teknologi Dalam Penyajian Makanan ...
Perawatan Gigi Estetik: Tren Terkini dal...
Penggunaan Teknologi Cloud Yang Semakin ...
Alam Nusa Tenggara Surga Tersembunyi Di ...
Makanan Olahan Vegan: Apakah Ini Masa De...
Era Baru Makanan Cepat Saji: Menyajikan ...
Kuliner Sehat: Peran Makanan Fermentasi
Teknologi Dalam Proses Produksi Makanan:...
Pengaruh Globalisasi Pada Makanan Tradis...
Gado Gado: Paduan Segar Dalam Sepiring H...
Tren Kuliner 2024: Makanan Berbasis Tana...
Tips Sehat Mengatasi Kelelahan Dan Burno...
Peran Probiotik Dalam Menjaga Kesehatan ...
Tren Kesehatan Kulit: Peran Nutrisi Dala...
Digitalisasi Bank: Transformasi Yang Har...
Manfaat Puasa Intermittent Terhadap Meta...
Efek Positif Yoga Dalam Mengurangi Stres
Panduan Olahraga Ringan Untuk Orang Deng...
Kaitan Antara Kesehatan Gigi Dan Penyaki...
Pola Makan Seimbang: Kunci Hidup Sehat D...
Cara Efektif Mengurangi Lingkaran Hitam ...
Peran Vitamin C Dalam Meremajakan Kulit
Kombinasi Nutrisi Dan Skincare Untuk Kul...
Posisi Kamar Tidur Yang Di Sarankan Oleh...
Teknologi Wearable Membantu Memantau Kes...
Pentingnya Minum Air Cukup Untuk Fungsi ...
Teknologi Pembayaran Digital Yang Semaki...
E-commerce Dan Perubahan Konsumsi Masyar...
Desain Grafis 3D: Menghadirkan Dimensi B...
Desain Grafis: Peran Dan Tren Terkini Da...
Kesehatan Pencernaan: Makanan Fermentasi...
Dampak Positif Meditasi Terhadap Kesehat...
Manfaat Berjalan Kaki Setiap Hari Untuk ...
Pentingnya Deteksi Dini Untuk Penyakit T...
Mengenal Berbagai Jenis Susu Dan Kandung...
Peran Vitamin D: Kesehatan Tulang Dan Ke...
Tips Hidup Sehat Dengan Pola Tidur Yang ...
Es Krim Rasa Kopi: Fusion Yang Menggoda ...
Digitalisasi UMKM: Transformasi Dari Tok...
Peran Blockchain Dalam Keamanan Internet
Makanan Super Untuk Meningkatkan Energi ...
Kesehatan Mental Dan Fisik: Mengapa Kedu...
Berolahraga Rutin Untuk Menurunkan Risik...
Tips Merawat Kebun Sayur Di Rumah: Pandu...
Manfaat Sayur Sehat Untuk Tubuh: Kenali ...
Cara Efektif Menjaga Sistem Imun Tubuh D...
Mengatasi Rambut Kering Dan Kusam Dengan...
Rambut Sehat Bernutrisi: Pentingnya Pert...
Meningkatkan Sistem Imun Dengan Mengonsu...
Faktor Penyebab Kulit Berminyak Dan Cara...
Menjaga Kesehatan Kulit Di Musim Pancaro...
Teknologi Modern Dalam Perawatan Kesehat...
Vegetarian Delight: Hidangan Thailand Un...
Mencicipi Nikmatnya Kuliner Timur Tengah...
Mengenal Jenis Rambut Anda Dan Perawatan...
Penyebab Umum Rambut Lepek Dan Cara Meng...
Tips Mengatasi Rambut Rontok Secara Alam...
Dia De Los Muertos: Perayaan Kehidupan D...
Hanami Tradisi Menikmati Keindahan Bunga...
Mie Aceh: Kekayaan Rasa Dari Serambi Mek...
Perkembangan Musik Populer di Era Digita...
Pohon Bonsai: Mempercantik Ruangan Denga...
Warna Pada Desain Interior: Menciptakan ...
Konservasi Pegunungan: Menjaga Ekosistem...
Hotel Ramah Lingkungan: Tren Baru Di Ind...
Talenta Muda: Atlet Esport Indonesia Di ...
Natal 2024: Tren Hadiah Yang Paling Bany...
Goa Lalay : Surga Tersembunyi Di Bogor Y...
Tanjidor : Alat Musik Khas Betawi Yang M...
Kendaraan Bermotor di Indonesia Meningka...
Inovasi Teknologi Pengolahan Hasil Perik...
Pelestarian Batik: Upaya Menjaga Warisan...
Rumah Tongkonan : Ikon Budaya Dan Identi...
Upacara Sekaten : Tradisi Memperingati M...
Upacara Kematian Suku Asmat Simbol Roh O...
Kalender Kalkulator China Menyelaraskan ...
Vape : Perangkat Elektronik Untuk Altern...
Pecinta Kucing Biasanya Memiliki Pendeka...
Pembakaran Mayat Atau Kremasi Yang Popul...
Kesalahan Saat Mandi Yang Perlu Di Hinda...
Ritual Mora’akeke : Pelestarian Suci Bud...
Manfaat Luxcrime Cushion Untuk Kulit Waj...
Rumah Adat Kasepuhan : Warisan Budaya Ke...
Pengaruh Greek Alfabet Pada Sistem Alfab...
Melakukan Intimate Wedding, Berikut Keun...
Urutan Kedua Bahasa Tersulit Di Dunia Ya...
Pengobatan Kanker: Terapi Dan Imunoterap...
Pentingnya Keamanan: Inovasi Terbaru Hel...
Kegiatan Bersepeda Untuk Meningkatkan Ke...
Pelatihan Dan Nutrisi: Tips Dari Juara D...
Revolusi Sepeda Elektrik: Teknologi Meng...
Tour de France 2024: Sorotan Utama Dan P...
Dunia Pendidikan: Inovasi Sistem Pembela...
Krisis Kemanusiaan: Bantuan Dan Penyeles...
Pergeseran Sosial: Tren dan Isu HAM Dan ...
Kebijakan Ekonomi Baru: Pemerintah Menga...
Mengapa Kucing Hitam Terkenal Dengan Ist...
Perkembangan Dalam Realitas Virtual Dan ...
Gadget Terbaru: Ulasan Smartphone Canggi...
Transformasi Digital: Teknologi Blockcha...
Teknologi 6G: Generasi Berikutnya Dalam ...
Inovasi Teknologi AI: Bahasa Generatif Y...
Internet Di Daerah Terpencil: Untuk Meni...
Pengaruh Media Sosial Terhadap Kesehatan...
Startup Teknologi Baru Mengubah Lanskap ...
Mengatur Konten: Tantangan Dan Peluang P...
Pembaruan Algoritma Mesin Pencari: Dampa...
Makanan Khas Daerah Yang Terancam Punah
Teknik Memasak Baru Yang Sedang Viral Di...
Panduan Lengkap: Tantangan Diet Sehat Di...
Kehadiran Restoran Baru Di Kota: Hidanga...
Tren Kuliner 2024: Makanan Berbasis Tana...
Investasi Properti: Apa Yang Harus Diket...
Perencanaan Keuangan Untuk Generasi Mile...
Analisis Pasar Emas: Apakah Aman Dari Ke...
Inovasi Fintech: Aplikasi Yang Mengubah ...
Bagaimana Resesi Global Mempengaruhi Por...
Rute Petualangan Baru: Wisata Jalur Kere...
Traveling Solo: Tips Aman Dan Nyaman
Tren Populer: Minat Masyarakat Terhadap ...
Memelihara Anjing Untuk Psikologis Manus...
Destinasi Ramah Lingkungan Di Dunia Yang...
Industri Pariwisata: Tantangan Dan Pelua...
Panduan Backpacker: Tips Hemat Saat Berl...
Perubahan Kebijakan Perjalanan Antar Neg...
Destinasi Tersembunyi Di Asia Tenggara Y...
Festival Musik Internasional 2024: Penam...
Visa Global: Perubahan Peraturan Yang Ha...
Inovasi Teknologi Industri Perjalanan: P...
Transformasi Industri 4.0: Peluang dan T...
Kebijakan Moneter: Strategis Menghadapi ...
Inovasi Teknologi Laptop Yang Mengubah P...
Gaming Hobi Digital Yang Ramai Diminati ...
Menjahit Kini Menjadi Hobi Yang Populer ...
Traveling Jadi Hobi Yang Sedang Tren di ...
Hobi Bermain Musik Bisa Meningkatkan Kes...
Pentingnya Hobi Membaca, Manfaat Psikolo...
Kerajinan Tangan Kini Menjadi Hobi Yang ...
Ini Dia Hewan Peliharaan Untuk Anak Kos
Batas Konsumsi Gula Harian Yang Disarank...
Ternyata Auman Singa Bisa Terdengar Hing...
Manfaat Sterilisasi Kucing Dalam Perawat...
Ketahui Bahaya Dari Limbah Botol Parfum
- Hot
- Inet
- Travel
Kota Glasgow, Pendidikan Dan Seninya Sangat Kuat Disini!
Mei 15, 2026 | Hot |
Kota Glasgow Menawarkan Pesona Sejarah Yang Kaya, Kehidupan Budaya Yang Beragam, Dan Arsitektur...
-
Fenomena Hipogami, Memilih Pasangan Berstatus Lebih Rendah
Mei 6, 2026 | Hot |
-
Aktor Jackson Sukses Dan Berhasil Berkontribusi Di Film Avengers
Apr 26, 2026 | Hot |
-
Hutan Aokigahara Di Kenal Sebagai Tempat Bunuh Diri
Apr 17, 2026 | Hot |
Cooling Pad Meningkatkan Kinerja Dan Kenyamanan Pengguna
Mei 14, 2026 | Inet |
Cooling Pad Adalah Perangkat Tambahan Yang Di Tempatkan Di Bawah Laptop Untuk Membantu Mengurangi...
-
Keberlanjutan Masa Digital: Inovasi Yang Mendukung Lingkungan
Mei 5, 2026 | Inet |
-
Samsung Galaxy A31 Hadir Dan Dibekali Empat Kamera Belakang
Apr 25, 2026 | Inet |
-
Huawei Watch GT Runner 2 Resmi di Indonesia, Khusus Pelari
Apr 16, 2026 | Inet |
Liburan Ke Bukit Ollon, Menyusuri Keindahan Alam Toraja
Mei 10, 2026 | Travel |
Liburan Ke Bukit Ollon Menawarkan Pengalaman Wisata Alam Yang Menenangkan Dengan Pemandangan...
-
Victoria Peak Perpaduan Alam & Modernitas Di Puncak Hong Kong
Mei 1, 2026 | Travel |
-
Keindahan Pantai Balangan, Banyak Wisatawan Yang Belum Tahu
Apr 22, 2026 | Travel |
-
Kota Lyon Terbesar Kedua Di Paris Yang Punya Keindahan Terbaik
Apr 12, 2026 | Travel |
- Sport
- Otomotif
Renang Gaya Dada, Teknik Dan Manfaat Utama
Mei 9, 2026 | Sport |
Renang Gaya Dada Adalah Salah Satu Gaya Renang Yang Paling Dasar Dan Sering Di Ajarkan Serta Di...
-
Zheng Si Wei, Bintang Bulutangkis Tiongkok Yang Mendunia
Apr 30, 2026 | Sport |
-
Olahraga Kriket Kurang Berkembang Di Indonesia, Mengapa?
Apr 21, 2026 | Sport |
-
Nadzeya Ostapchuk Atlet Berprestasi Terjerat Kontroversi
Apr 11, 2026 | Sport |
Nitrogen Di Ban, Apa Kelebihan Lainnya Selain Stabilitas?
Mei 8, 2026 | Otomotif |
Nitrogen Di Ban, Apa Kelebihan Lainnya Selain Stabilitas Dan Juga Lebih Oke Dengan Berbagai...
-
Honda CG150 2025 Tampil Klasik Tapi Fitur Makin Modern
Apr 29, 2026 | Otomotif |
-
Perbandingan Mobil Sport Dan Sedan Dalam Dunia Otomotif
Apr 20, 2026 | Otomotif |
-
Perusahaan Kia Ciptakan Mobil Modern, Efisien Dan Andal
Apr 10, 2026 | Otomotif |
Kota Glasgow, Pendidikan Dan Seninya Sangat Kuat Disini!
oleh mimin1 penulis | Mei 15, 2026 | Hot | 0 |
Kota Glasgow Menawarkan Pesona Sejarah Yang Kaya, Kehidupan Budaya Yang Beragam, Dan Arsitektur...
Baca selengkapnyaCooling Pad Meningkatkan Kinerja Dan Kenyamanan Pengguna
oleh mimin1 penulis | Mei 14, 2026 | Inet | 0 |
Cooling Pad Adalah Perangkat Tambahan Yang Di Tempatkan Di Bawah Laptop Untuk Membantu Mengurangi...
Baca selengkapnyaBulimia Nervosa Banyak Di Alami Remaja Dan Perempuan Muda?
oleh mimin1 penulis | Mei 13, 2026 | Health | 0 |
Bulimia Nervosa Adalah Salah Satu Jenis Gangguan Makan Yang Di Tandai Dengan Perilaku Makan...
Baca selengkapnyaHidangan Khas Jerman Dengan Cita Rasa Khasnya Yang Lezat
oleh mimin1 penulis | Mei 12, 2026 | Food | 0 |
Hidangan Khas Jerman Berikut Ini Memiliki Cita Rasa Khas Yang Sangat Lezat Dan Wajib Untuk Kita...
Baca selengkapnyaTren Mindful Living, Gen Z Mulai Meninggalkan Budaya Hustle
oleh mimin1 penulis | Mei 11, 2026 | News | 0 |
Tren Mindful Living Belakangan Ini, Pergeseran Paradigma Mengenai Kesuksesan Tengah Terjadi Secara...
Baca selengkapnyaLiburan Ke Bukit Ollon, Menyusuri Keindahan Alam Toraja
oleh mimin1 penulis | Mei 10, 2026 | Travel | 0 |
Liburan Ke Bukit Ollon Menawarkan Pengalaman Wisata Alam Yang Menenangkan Dengan Pemandangan...
Baca selengkapnya
- 1
- ...
- 2
- 3
- 4
- 5
- 6
- 7
- 8
- 9
- 10
- 11
- 12
- 13
- 14
- 15
- 16
- 17
- 18
- 19
- 20
- 21
- 22
- 23
- 24
- 25
- 26
- 27
- 28
- 29
- 30
- 31
- 32
- 33
- 34
- 35
- 36
- 37
- 38
- 39
- 40
- 41
- 42
- 43
- 44
- 45
- 46
- 47
- 48
- 49
- 50
- 51
- 52
- 53
- 54
- 55
- 56
- 57
- 58
- 59
- 60
- 61
- 62
- 63
- 64
- 65
- 66
- 67
- 68
- 69
- 70
- 71
- 72
- 73
- 74
- 75
- 76
- 77
- 78
- 79
- 80
- 81
- 82
- 83
- 84
- 85
- 86
- 87
- 88
- 89
- 90
- 91
- 92
- 93
- 94
- 95
- 96
- 97
- 98
- 99
- 100
- 101
- 102
- 103
- 104
- 105
- 106
- 107
- 108
- 109
- 110
- 111
- 112
- 113
- 114
- 115
- 116
- 117
- 118
- 119
- 120
- 121
- 122
- 123
- 124
- 125
- 126
- 127
- 128
- 129
- 130
- 131
- 132
- 133
- 134
- 135
- 136
- 137
- 138
- 139
- 140
- 141
- ...
- 142
Berita Terbaru
-
Kota Glasgow, Pendidikan Dan Seninya Sangat Kuat Disini!Mei 15, 2026 | Hot -
Cooling Pad Meningkatkan Kinerja Dan Kenyamanan PenggunaMei 14, 2026 | Inet -
Bulimia Nervosa Banyak Di Alami Remaja Dan Perempuan Muda?Mei 13, 2026 | Health -
Hidangan Khas Jerman Dengan Cita Rasa Khasnya Yang LezatMei 12, 2026 | Food -
Tren Mindful Living, Gen Z Mulai Meninggalkan Budaya HustleMei 11, 2026 | News