
Penyakit Hydrocephalus, Kondisi Medis Dengan Cairan Di Otak
Penyakit Hydrocephalus Kondisi Medis Yang Terjadi Ketika Ada Penumpukan Cairan Serebrospinal (CSF) Di Dalam Rongga Otak, Di Sebut Ventrikel. Cairan ini seharusnya mengalir dengan lancar dan di serap oleh tubuh, tetapi pada penderita ini, aliran atau penyerapan cairan terganggu. Akibatnya, cairan terkumpul dan menyebabkan peningkatan tekanan di dalam tengkorak, yang dapat merusak jaringan otak. Akibatnya, cairan terkumpul dan menyebabkan peningkatan tekanan di dalam tengkorak, yang dapat merusak jaringan otak. Oleh sebab itu kondisi ini menyebabkan tekanan yang berlebihan yang berdampak pada pembesaran kepala bayi.
Istilah Penyakit Hydrocephalus berasal dari bahasa Yunani, di mana “hydro” berarti air dan “cephalus” berarti kepala. Sehingga kondisi ini dapat terjadi pada siapa saja, tetapi lebih umum di temukan pada bayi dan anak-anak. Serta penyebab pastinya belum sepenuhnya di pahami, tetapi dapat berkaitan dengan kelainan perkembangan otak atau obstruksi dalam aliran cairan serebrospinal. Sedangkan, pada orang dewasa, gejalanya lebih beragam dan termasuk sakit kepala parah, gangguan kognitif, gangguan keseimbangan, inkontinensia urin dan gangguan berjalan. Oleh sebab itu dalam beberapa kasus, hidrosefalus dapat menyebabkan kerusakan permanen pada otak dan sistem saraf.
Tanda Utama Hidrosefalus Pada Bayi
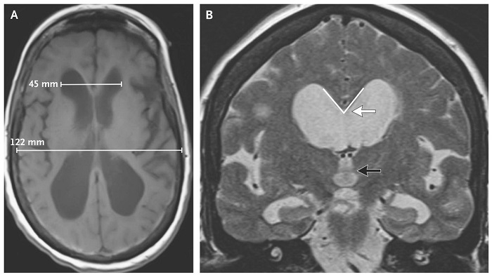
Salah satu tanda utama hidrosefalus pada bayi adalah pembesaran kepala yang cepat, juga di kenal sebagai makrosefalus. Sehingga kepala yang membesar di sebabkan oleh penumpukan cairan dalam rongga otak yang menyebabkan tulang tengkorak bayi belum menyatu sepenuhnya. Meskipun dapat menimbulkan tantangan serius bagi individu yang terkena. Tetapi penelitian dan pengembangan terus berlangsung untuk meningkatkan diagnosis dan pengobatan. Biasanya diagnosis Penyakit Hydrocephalus sering melibatkan pencitraan otak menggunakan teknik seperti ultrasound, CT scan atau MRI.
Penyakit Hydrocephalus Kondisi Medis Yang Kompleks Di Tandai Oleh Penumpukan Cairan Di Otak
Selain itu, tes tekanan intrakranial juga dapat di lakukan untuk mengukur tekanan dalam rongga otak. Namun, pengobatan utamanya tergantung pada penyebab dan tingkat keparahan kondisi. Pilihan pengobatan utama biasanya melibatkan pemasangan kateter atau shunt untuk mengalirkan cairan serebrospinal ke dalam bagian tubuh yang lain. Sehingga mengurangi tekanan di otak. Tetapi, pendidikan masyarakat tentang tanda dan gejala Hydrocephalus serta upaya untuk meningkatkan kesadaran akan pentingnya deteksi dini dan pengelolaan yang tepat dapat membantu mengurangi dampak negatif kondisi ini pada individu yang terkena.
Penyakit Hydrocephalus Kondisi Medis Yang Kompleks Di Tandai Oleh Penumpukan Cairan Di Otak, yang dapat menyebabkan tekanan yang berlebihan dan pembesaran pada kepala bayi atau anak. Penyebab dari kondisi ini dapat bervariasi dan seringkali melibatkan berbagai faktor yang kompleks. Salah satu penyebab utamanya adalah ketidakseimbangan antara produksi dan resorpsi cairan serebrospinal (CSF). CSF adalah cairan yang di produksi di dalam otak dan berfungsi untuk melindungi dan menyokong jaringan otak. Ketika produksi CSF berlebihan atau aliran normalnya terganggu, misalnya oleh penyumbatan saluran CSF, maka cairan dapat menumpuk di dalam otak.
Penyumbatan dalam saluran yang membawa CSF dari otak ke tulang belakang atau di sekitar otak dapat terjadi karena berbagai faktor. Misalnya, tumor otak, kista atau infeksi dapat menyebabkan penyumbatan tersebut. Selain itu, infeksi selama kehamilan juga dapat menjadi penyebab hidrosefalus pada bayi. Infeksi seperti rubella, toksoplasmosis atau sitomegalovirus dapat menyebabkan kerusakan pada perkembangan otak janin, yang pada gilirannya dapat mengganggu aliran normal cairan serebrospinal. Selain itu, trauma kepala atau cedera otak juga dapat menjadi pemicu. Cedera kepala yang parah bisa merusak saluran CSF atau mengganggu produksi dan resorpsi cairan serebrospinal.